
Global (December 8, 2025)— Ophthalmology 360®, a leading digital platform from International Healthcare Media (IHM), launched its inaugural Photo Contest in July 2025, inviting ophthalmologists worldwide to submit compelling images that capture the most challenging, innovative, or visually striking ophthalmic cases.
A panel of 3 ophthalmologist judges reviewed all submissions and selected the top 3 cases. Read on to see the top 3 photos and the clinicians behind them (winners not listed in any particular order; all 3 were weighed equally as winners of the contest).

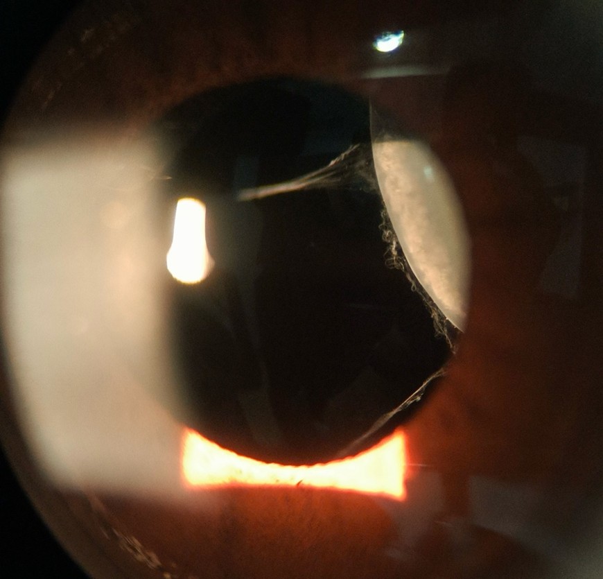
“It’s very rare to see the lens suspended by a single zonule; things like this we just read in the textbooks,” said Dr. Pandit about her winning image.
Hear more from Dr. Pandit about her win.

“I chose this photo because it represents more than just a clinical finding—it is a visual story of how ocular tumors can transcend boundaries, reminding us to look beyond the retina and recognize the importance of early detection and comprehensive evaluation," shared Dr. Raval. “I hope colleagues see this image as a reminder of the value of vigilance, detailed imaging, and timely referral. Even common-appearing lesions can have uncommon and serious behavior, and capturing them not only aids clinical care but also helps educate the wider community.”


These photos show a rarely reported phenomenon: endocapsular hematoma. Traumatic hyphema trapped behind an intraocular lens in the capsular bag, forming a blood-fluid level. Due to a lack of improvement on observation, it required surgical intervention to open and irrigate the posterior capsular space.
“Ophthalmologists and optometrists often diagnose and manage hyphemas in the anterior chamber, but in this case, the blood had migrated into the capsular bag posterior to the intraocular lens implant. This is an anatomic space that is normally empty, but in this case, the blood had become trapped until definitive intervention,” said Dr. Sethi about the image. “Not only is the blood-fluid level visually stunning, but it’s a great example of how management has to be deliberate and patient-specific.”
“Ophthalmology gives us a front-row view to rare anatomy and pathology that is truly mesmerizing under the view of a slit lamp microscope,” he continued. “Images like this are a reminder to pause and appreciate what we see every day in our daily work toward restoring vision.”
In 2026, Ophthalmology 360 will launch a photo series, Case of the Month, highlighting some of the other interesting cases submitted through the inaugural Photo Contest. Make sure you follow Ophthalmology 360 on Instagram @ophthalmology360 to see all the photos.
Keep an eye out in 2026 for an announcement of the second-annual Photo Contest on Ophthalmology 360 for your chance to submit a compelling case and take home the top prize.
Ophthalmology 360 is a dynamic digital platform dedicated to advancing the field of eye care. Founded to support ophthalmologists, this platform is at the forefront of reporting on innovations and improvements in the ophthalmologic field.
The platform offers engaging content that includes timely news stories, exclusive peer-to-peer conversations, research insights, industry updates, and clinician-authored content on a broad range of topics on medically necessary and elective eye care. The platform also provides applicable information for patients and their advocates in the quest to improve their eyesight.
Our mission is clear—to provide cutting-edge, engaging content highlighting the important advancements in ophthalmology to enhance the quality of care and patient outcomes.
International Healthcare Media (IHM) is a leading communications company in the healthcare media industry, offering a dynamic and diverse portfolio of media brands catering to healthcare providers, patient warriors, and patient advocate-caregivers globally. IHM provides compelling and relevant content, aligning with its mission to be a source of trusted and insightful information. The company’s portfolio of brands includes Med Journal360®, Rare Disease 360®, Ophthalmology 360®, Optometry 360™, and My Hero 360®.
IHM has won several content awards over the years, including:
At the heart of IHM’s success is its dedicated team that embodies the corporate values of passion, innovation, interaction, information, inclusiveness, diversity, communication, collaboration, and resilience. These values are evident in every aspect of the company’s operations, as reflected in its tagline, “All Content Should Be This Good®.”
Learn more about IHM and its portfolio of brands.
Juliana Della Pello, Program & Communications Director juliana@ihmholdings.com |908-505-8899ex 203
